2026 Mart Ayın Sorusu
Okuma:10
2026 Mart Ayın Sorusu
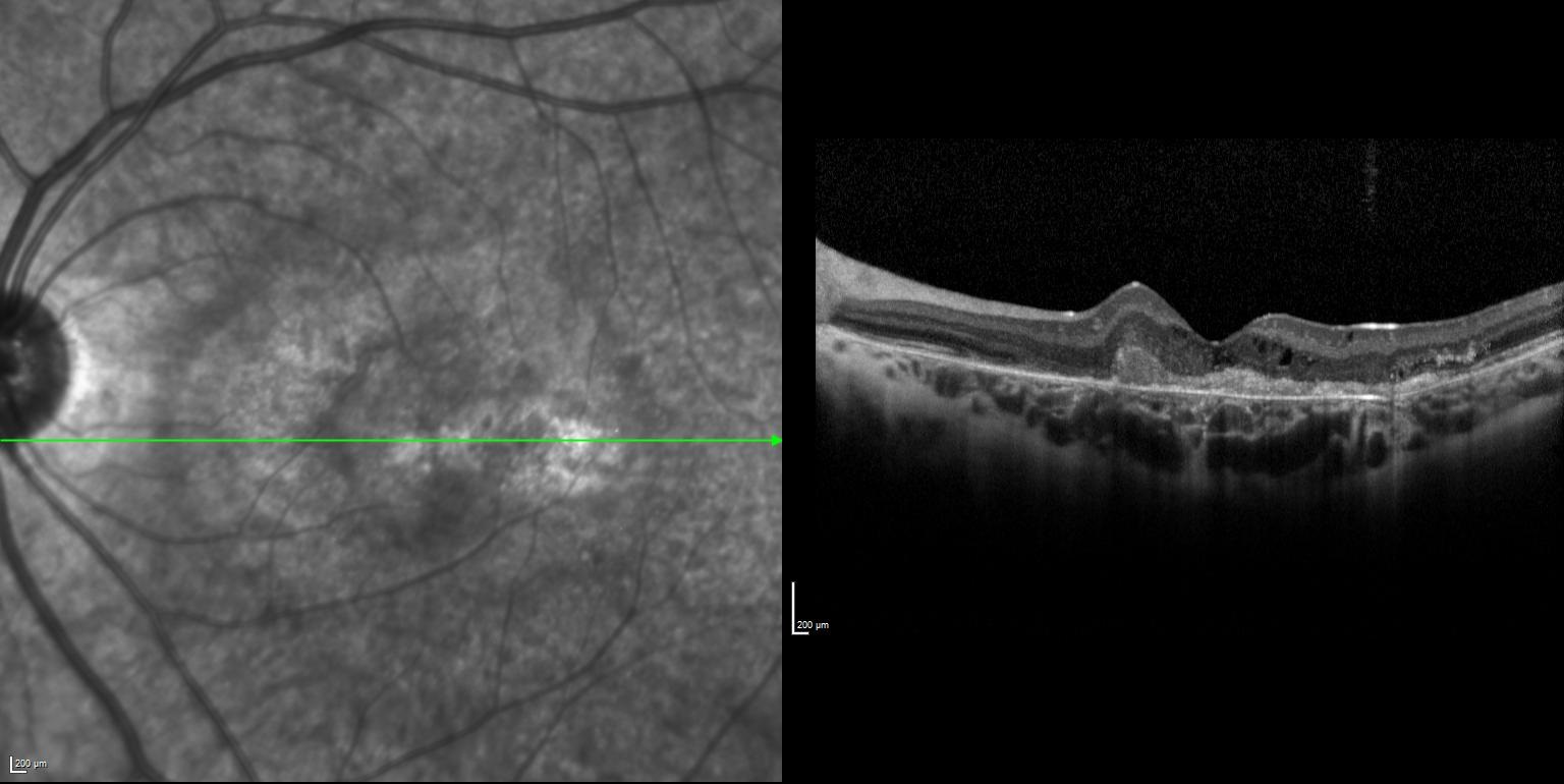
Sol gözde bir haftadır görme azlığı şikayeti başlayan ve görme keskinliği 5 mps düzeyinde olan 15 yaşındaki kadın hasta retina kliniğimize refere edilmiştir. Hastanın renkli fundus ve optik koherens tomografi görüntülerini görmektesiniz. Hastanın doğumunda bir enfeksiyon öyküsü vardır. Sistemik bir hastalığı yoktur. Bu bulgulara göre tanınız nedir? Lütfen cevabınızı aşağıya yazınız.
Ayın sorusunu bizimle paylaşan Dr. Mehmet Yasin TEKE’ye katkıları için teşekkür ederiz.





